Dr. Lukas Pytlik

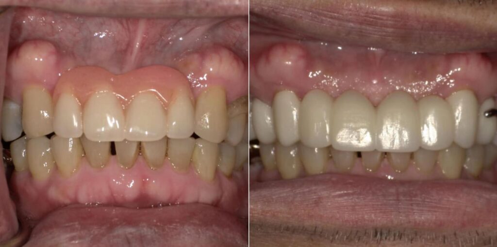
Confidence Begins with a Healthy, Beautiful Smile

Discover the life-changing smile transformations achieved through Dr. Pytlik's expert prosthodontic care in La Jolla, CA.

Ready to Get Started?

Don’t settle for temporary fixes or treatments that drag on for months. Experience the difference that elite prosthodontic care can make—often completed in just days, not months.

Contact our La Jolla office today at (858) 452-8933 to schedule your consultation.